Assalamualaikum dan salam satu malaysia...
Sempena bulan puasa yang bakal menjelma, pihak klinik ingin mengucapkan selamat berpuasa dan selamat menjalani ibadah di bulan yang mulia kepada semua yang beragama islam..
Di kesempatan ini, kami ingin memaklumkan perubahan waktu operasi klinik bermula 10 Julai 2013 ( 1 ramadhan )...
- isnin, selasa, rabu,khamis dan sabtu : 10.30 pagi - 6 petang ( 1 tgh - 2 ptg rehat )
dan 8mlm - 11mlm
- jumaat : 10.30 pagi hingga 6 petang SAHAJA ... ( TIADA WAKTU REHAT TENGAHARI )
Kami juga menawarkan pakej rawatan dengan diskaun istimewa :
- cabutan
- tampalan -----> diskaun caj rawatan 10 hingga 15%
- cuci gigi
- gigi palsu separuh
- sarung gigi ( crown )
- gigi palsu penuh atas : rm350 ( harga asal rm 400 )
- gigi palsu penuh bawah : rm 350 ( harga asal rm 400 )
-satu set gg palsu penuh atas dan bawah : rm 680 ( harga asal rm 700 )
- pemutihan gigi - rm 550 (harga asal rm 600 )
- berlian gigi - rm 80 ( harga asal rm 100 )
jom!! cepat ...kita cantikkan gigi sebelum raya....
Tetamu Kami シ
Tuesday, July 2, 2013
Tuesday, June 25, 2013
KENALI JENIS TAMPALAN PADA GIGI ANDA
1) tampalan amalgam
- tampalan yang bewarna silver kehitaman
- antara jenis tampalan yang kuat dan mampu menampung beban yang tinggi
- sesuai untuk gigi belakang pada kaviti yang tidak dalam
- kebaikan : sangat kuat dan tahan lama
- keburukan : kurang cantik
2) tampalan komposit
- tampalan sewarna gigi
- sesuai untuk gigi hadapan kerana sifatnya yang cantik dan bersinar
- kebaikan : menyerupai warna gigi
- keburukan : tidak kuat
3) tampalan Glass Ionomer Cement (GIC)
- tampalan sewarna gigi
- sesuai untuk gigi belakangyang mempunyai lubang yang dalam
- mempunyai flouride yang mampu menghentikan aktiviti karies gigi dan seterusnya memperbaiki struktur gigi..
- kebaikan : menyerupai warna gigi, mempunyai flouride
- keburukan : bersifat rapuh
4) Sealan Fissure ( Pengapan Fisur )
- sejenis tampalan yang diperbuat dari GIC untuk memengap fisur pada gigi yang dalam
- bertujuan untuk memelihara fisur dari serangan karies
- sangat sesuai untuk gigi geraham yang baru tumbuh
Thursday, June 13, 2013
Penyakit Gusi dan Bau Mulut
Apakah itu penyakit gusi...
- Penyakit gusi terjadi adalah merupakan keradangan pada gusi yang disebabkan oleh plak ( tahi gigi ) yang tidak dibersihkan dengan sempurna.
- TAHI GIGI adalah merupakan sisa makanan yang melekat pada gigi dan pinggir gusi
- sekiranya TAHI GIGI tidak dibersihkan, ia akan mengeras dan membentuk KARANG GIGI
- TAHI GIGI dan KARANG GIGI boleh menyebabkan gusi bengkak dan mudah berdarah
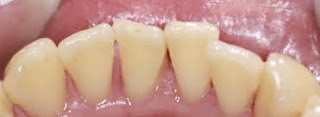
![]() |
| karang gigi dan pinggir gusi yang kelihatan kemerahan |
Tanda - tanda penyakit gusi :
- gusi berdarah semasa disentuh/ memberus gigi
- mulut berbau
- gigi goyang dan bergerak dari kedudukan asal
- gusi turun dan menyebabkan gigi sensitif
Jika anda mengalami tanda - tanda di atas :
Jangan lah takut untuk berjumpa doktor gigi anda
Ubat kumur tidak akan merawat penyakit gusi sekiranya karang gigi TIDAK DIBUANG
Rawatan yang akan diberikan adalah PENSKALERAN DAN PENGGILAPAN
Penskaleran adalah satu prosedur pembuangan karang gigi dengan menggunakan mesin ultrasonic.
![]() |
| Selepas penskaleran....gigi bersih...gusi pun akan kembali sihat GOSOK GIGI PUN DAH TAK BERDARAH YANG PENTING..MULUT PUN DAH TAK BERBAU LEBIH YAKIN NAK BERCAKAP DENGAN ORANG LAIN.. :) |
Subscribe to:
Posts (Atom)




